呼吸器内科

のど・気管・気管支・肺など、呼吸に関する臓器の病気を専門的に扱います。
「風邪だと思っていたが、咳が長引いている」など、咳や痰、息切れ、息苦しさなど呼吸器の症状が目立つ場合は、受診しましょう。

呼吸器内科では、以下のような病気を扱います。

             

喘息

             

COPD(慢性閉塞性肺疾患)

             

肺炎

             

肺結核

             

肺がん など

以下のような症状がある場合は受診しましょう。


咳が2週間以上続いている

夜も眠れないほど激しい咳が出る

特定の時間や季節になると咳が出る

ホコリや煙を吸うと激しく咳き込む

ペットがそばにいると激しく咳き込む

2週間以上痰が続いている

緑、赤、茶、黒の痰が出る

「ゴホゴホ」「ゲホゲホ」という痰の絡んだ咳が続いている

粘り気のある痰が喉に絡み、慢性的に呼吸がしにくい

階段や坂道の上り下りが苦しくて息が切れる

動くとすぐにゼイゼイ、ハーハーしてしまう

睡眠中に、息苦しくて目が覚めることがある

           

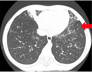
当院では、仮想気管支内視鏡検査は肺と気管支が一度に評価可能です。

                     

仮想気管支内視鏡

                     

CTによる仮想気管支内視鏡検査肺と気管支の評価が一度に可能です。

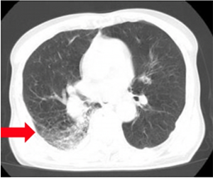
肺炎

                     

精密検査を行って長引く咳を診断・治療します。
風邪の診断でも、なかなか咳が治まらないときは、肺炎をおこしている場合があります。

                     

マイコプラズマ肺炎

                     

小児の長引く咳は、マイコプラズマ肺炎の場合があります。

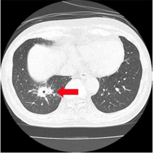
非定型抗酸菌症

数か月続く咳では、非定型抗酸菌症の場合があります。
珍しい病気ですが治療が必要です。

肺真菌症

体力の落ちた方は、真菌(カビの仲間)に感染する場合があります。
咳、胸痛、血痰などの症状が出ます。