救急科

「急に具合が悪くなった」方は、どんな症状でも、
また内科・外科・小児科などの診療科も関係なく、いつでも診察が可能です。

軽症救急患者の場合

治療後に帰宅。

中等症救急患者の場合

治療後に帰宅。
帰宅できない場合は、当院で1泊後、地域内の連携病院に転院。

重症救急患者の場合

救命処置後に救命センターにドクターヘリや救急車で転院搬送。

扱う疾患

内科系疾患(循環器、呼吸器、消化器疾患、血液疾患など)

外科系疾患(胸部外科、腹部外科、心臓外科、重症多発外傷など)

脳外科疾患(脳腫瘍、頭部外傷、脳出血、脳梗塞、など)

小児科疾患

整形外科疾患

婦人科疾患

などあらゆる疾患を受け入れ致します。

診療体制

救急科常勤医師が救急外来診療を行っています。
夜間休日は当直として常駐しています。

診療体制

急患はいつでも診察致します。
緊急の際には、まずお電話を!

048-967-5339

待ち時間について

午前中は非常に混雑します。
2時間程度お待たせする場合があります。
午後は比較的空いておりますので、午後の受診をお勧めします。
救急車が入ると、待ち時間が増えることもご了承ください。

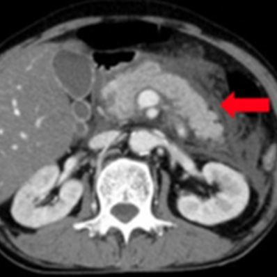
内科系救急

               

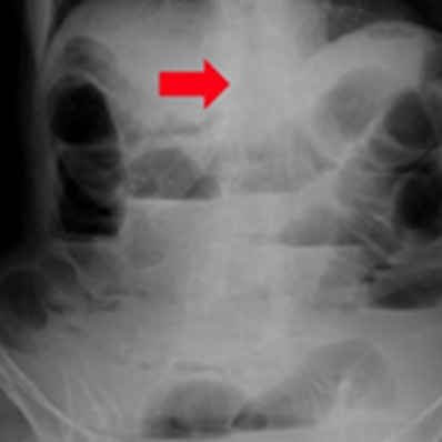
イレウス

急性胆のう炎

うっ血性心不全

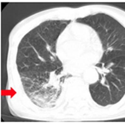
急性肺炎

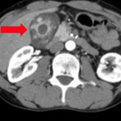
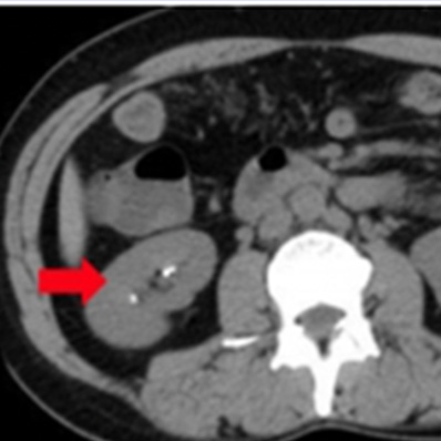
両腎結石症

心原性脳塞栓症

洞不全症候群

急性心筋梗塞

心室頻拍

急性膵炎

胆嚢腺筋症

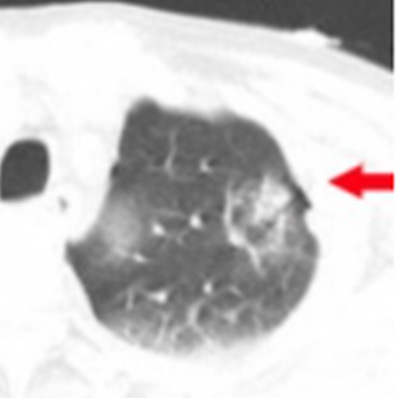
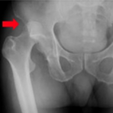
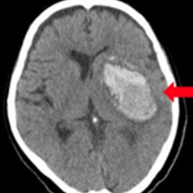
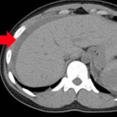
外科系救急

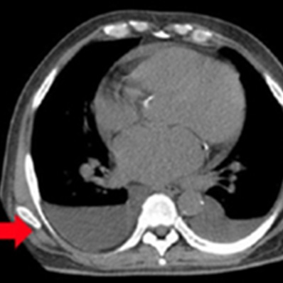
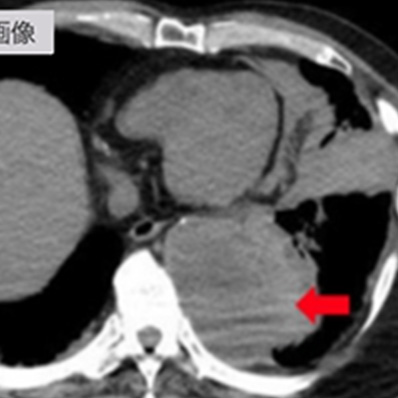
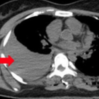
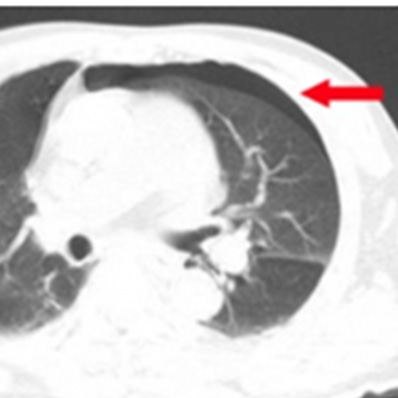
外傷性気胸

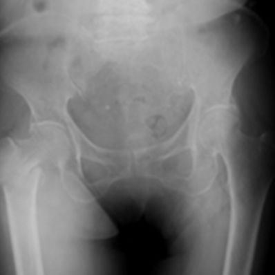
股関節脱臼骨折

肺挫傷

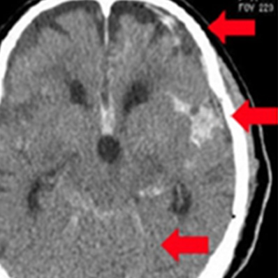
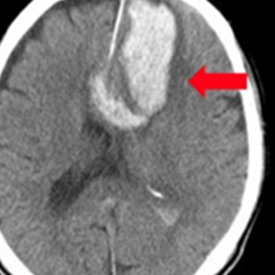
上から 急性硬膜下血腫、
脳挫傷、外傷性くも膜下出血

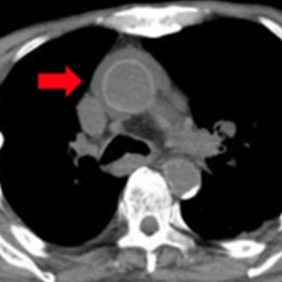
急性大動脈解離
(StanfordA型)

外傷性血胸

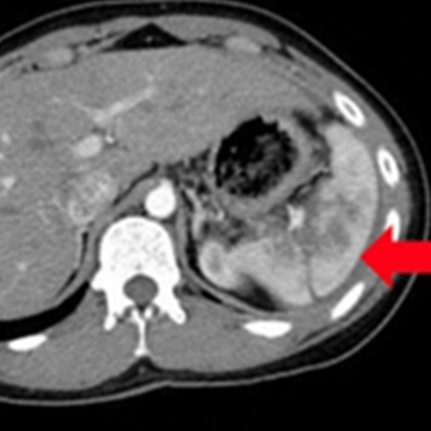
腹部大動脈瘤破裂

外傷性脾損傷

外傷による腹腔内出血

皮質下出血

被殻出血

大腿骨転子部骨折

人工股関節術後脱臼

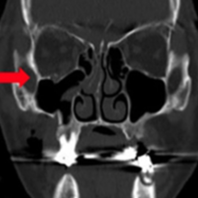
眼窩底骨折

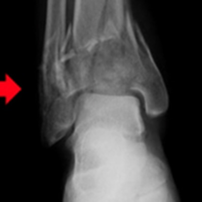
Pylon骨折

踵骨骨折