スポーツ整形外科

年間患者数/約4000人 疲労骨折や肉離れ、スポーツ障害を治療します。

スポーツ整形外科では、
疲労骨折や肉離れなどはもちろんのこと
運動中にだけ痛みが出る、いわゆる「スポーツ障害」と言われる状態も治療します。

スポーツ障害は一般の患者さんと異なり、スポーツをされる元気な方にしか起こりません。
痛みに変わる前の、「違和感」の時点で、見落とさずに治療・リハビリを行い、スポーツでのパフォーマンスの向上を目指していきます。

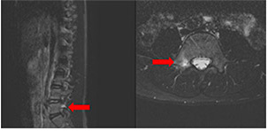
バレーボールや野球で多く見られる腰椎分離症もMRIであればすぐに診断できます。
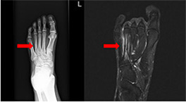
Ⅹ線では診断が難しい早期の疲労骨折もMRIであれば診断できます。